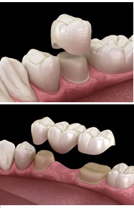
Crown and bridge
Dental Crowns or "caps" are covers for teeth that has undergone a root canal treatment (leaving behind very little tooth structure), cracked or weakened teeth or teeth that are so decayed that a regular filling isn't sufficient. A dental crown and bridge is a permanent replacement to your missing teeth. The dental bridge acts as any other bridge by filling up the gap between two existing teeth. The teeth on either side are taken as support for the bridge. The bridge replaces the missing teeth region.
The tooth or supporting teeth are cut and shaped to receive the crown. Full measurement of upper and lower teeth is made using impression material. This measurement is sent to the lab for fabrication of crown and/or bridge. Then by using dental cement crown and/or bridge is fixed over the teeth.
Various materials are available for fabrication of crown and bridge. Metal, porcelain fused to metal, zirconia, lithium disilicate(e-max).
At Shah multispeciality dental clinic we offer you a range of newer metal free, CAD CAM , precision and high aesthetics with strength solutions for replacement of your missing teeth and crowns with high level of patient satisfaction.
