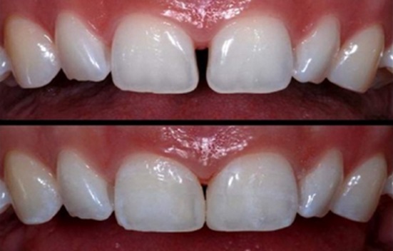
Diastema Closure
A diastema is a space between front teeth. Diastemas are closed by orthodontics or restoration. A highly successful technique is addition of composite but when space is too large to be filled with composite, orthodontics is recommended. Space closure requires placement of composite material between two adjacent teeth.
For Best Aesthetic results n Better smile one must go for indirect restoration which is done with E-max veneers and indirect composites.
