Full Mouth Rehabilitation
Dental restoration is not just an option; it's a necessity, since your teeth cannot recover from damage or infection on their own. A chipped edge, a cracked surface, or even a minor cavity will pose a significant threat to your oral health if allowed to grow worse through lack of treatment.
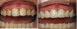
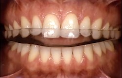
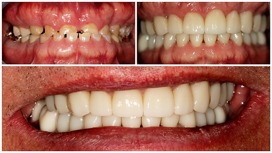
In many cases, a tooth filling or dental crown may be able to restore a single afflicted tooth. However, many patients exhibit a number of problems with more than one tooth, and/or the gum tissues around them. Full mouth rehabilitation is designed to restore your smile's good health; when that requires more than a single procedure.
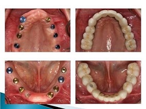
Whether your teeth are damaged, infected, or lost, or your gums are diseased and need periodontal treatment, we offer a variety of services to address your unique needs. Depending on your condition, your full mouth reconstruction can include;
Full-mouth rehabilitation of the worn dentition presents the clinician with many challenges and potential pitfalls. A staged approach to restoring the worn dentition provides the clinician opportunity to evaluate how a patient will respond to occlusal and esthetic changes
