Non Surgical Treatment
Splinting
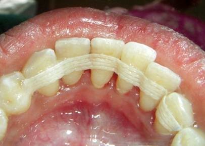
Periodontal splinting is a process by which loose teeth are stabilized by splinting them to adjoining teeth, much in the same way a sprained or broken finger will be splinted to one of the fingers next to it in order to be held secure and heal properly. The periodontal splint is typically made of fibrous composite material and can be very effective at holding teeth in place and saving them from extraction. A periodontal splint can be affixed to your teeth in your dentist's office and typically does not require anesthesia.
Different Types of splinting include:
Temporary Splinting
Permanant Splinting
Occlusal Splints Or Guards
Temporary Splinting can be achieved by joining the teeth together with:
1. Extra-coronal Splints("extra" - outside: "coronal" - crown): With this approach, splinting materials are attached to a group of teeth generally by bonding to the enamel, thus making them more rigid.
2. Intra-coronal Splints("intra" - inside): These splints involve cutting a small channel into the teeth, inserting a rigid custom formed metal splint and bonding or cementing it in place to stabilize the teeth.
Permanant Splinting or Fixed Splinting : This method literally (and permanently) "fixes" loose teeth together by crowning the affected teeth and fabricating a splint in which the crowns are joined or fused together.
Occlusal Splints Or Guards: If parafunctional clenching or grinding habits are evident, then a removable occlusal splint or bite guard may further protect the teeth from the consequences of too much biting force. Since parafunctional forces and habits tend to be stress related, these removable guards can be used during times of tension, stress or when these bad habits are evident.
The doctor has countless years of experience in a wide range of dental procedures and uses the latest dental technology to ensure that your comfort is maximized and your time in the office is minimized.
