Veneers
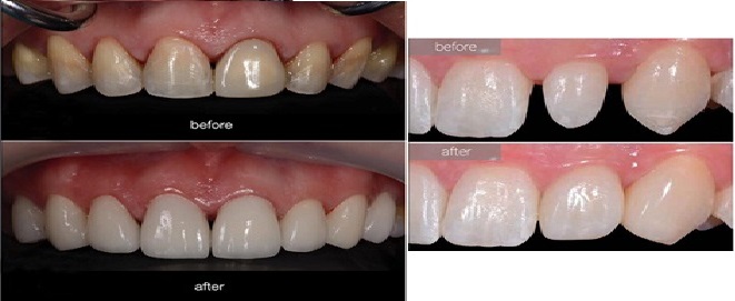
Dental veneers (sometimes called laminates) are wafer-thin, custom-made shells of tooth-colored materials designed to cover the front surface of teeth to improve your appearance. These shells are bonded to the front of the teeth changing their color, shape, size, or length.
Veneers fit over the fronts of the teeth that show when you smile, giving patients a dazzling smile that is brilliantly perfect. Flaws such as gapped teeth, teeth that are too short or irregular in size, or teeth that are stained or misaligned are covered up with veneers.
Common reasons people get dental veneers:
The two common types of dental veneers to choose from are Emax Veneers and Zirconia Veneers. Each has its unique qualities and benefits.
Emax Veneers are also known as lithium silicate. Their distinctive features make this type of veneer ideas for making full crowns to restore teeth that are damaged or broken. They have excellent translucency for a natural look.
Zirconia Veneers are a type of ceramic material known as zirconia oxide. This type of veneer comes in many different shades, allowing for the ultimate in matching the color of your existing teeth. Although the whiteness has been known to fade over time, Zirconia Veneers have incredible strength so they are particularly long-lasting and durable.
