Scalling
Scaling ( Teeth cleaning )
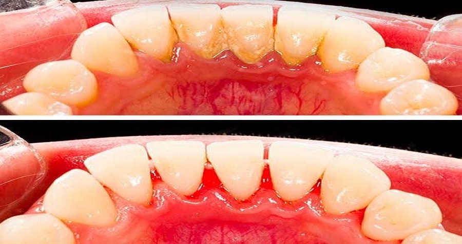
The objective of scaling and root planing, otherwise known as conventional periodontal therapy, non-surgical periodontal therapy or deep cleaning, is to remove or eliminate the etiologic agents which cause inflammation: dental plaque, its products and calculus, thus helping to establish a periodontium that is free of disease.
Plaque is a soft, sticky mixture of bacteria, waste products from bacteria, and some food debris. It irritates the gums, or gingiva, and causes inflammation over time: gingivitis. The longer plaque is left on the teeth, the harder it gets. After 24 hours, some plaque hardens into calculus, otherwise known as tartar.
Calculus is mineralized plaque and does not come off with the brush and floss anymore. The bacteria in plaque and calculus cause an ongoing state of inflammation called gingivitis. If left untreated, gingivitis can progress to a more serious disease called periodontitis (pyorrhea).
Ultrasonic Scaling
Ultrasonic scaler an ultrasonic instrument with a tip for supplying high-frequency vibrations, used to remove plaque and calculus from teeth and bits of inflamed tissue from the walls of the gingival crevice.
The ultrasonic instrument tips are curved and rounded and are always kept in motion around the teeth. Their purpose is to make tartar loose and not cut into the teeth. If the sensations are too strong settings can be adjusted along with the applied pressure to make it more comfortable.
