Post and Core Build up
Post & Core (Build-Up)
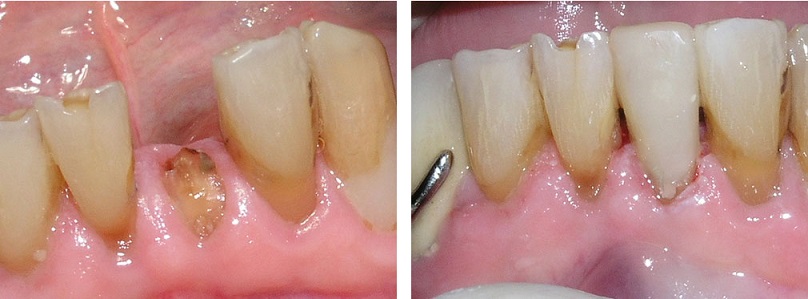
A post and core is a dental restoration, which is used to sufficiently restore a tooth morphology followed by future restoration such as a crown, when there is no an adequate part of tooth hard tissue regarding to the required clinical indication of the case, due to loss of tooth structure as a result of decay, fracture or other causes. Post and cores can be referred as one of the foundation restorations.
Post Build-Up:
A post & core buildup connects a tooth that has had a root canal to a crown. It is generally performed on a tooth after a root canal and prior to placing a crown on the tooth. Although not all root canalled teeth need post & cores, many do. After placement of a post & core, it is recommended that a crown is placed on the tooth. Waiting too long for the crown may cause the tooth to break. The tooth could then be lost.
The first step in placing a post is performing root canal therapy on the tooth to remove the infection and shape the root canal to receive the post. We'll use a small instrument called a dental file to shape the top of the root canal, select a post, and then cement or bond it in place. After the post is in place, we fill the tooth with the new core material. Once it has hardened, the core material is shaped and prepared to receive a crown. We then take an impression of your teeth so a dental laboratory can custom-craft a crown that will precisely fit your tooth.
Core Build-Up:
A tooth needing a root canal usually has a large filling or lots of decay and most of the original tooth is gone. During a root canal, a hole is drilled though the natural crown. The hole goes all the way through the center of the crown into the roots and the root canal is done through this hole. The drilled out area inside the tooth is called the core of the crown. All teeth need a dental crown after a root canal. For the crown to be successful, it must have a good foundation. The core build-up provides this support. It also replaces the original shape of the tooth so that it will be easier to design a crown.
After a root canal is done, all of the old filling and decay are removed. This leaves a shell of a tooth and a core build up replaces the missing tooth material. The remaining tooth is cleaned and special composite filling material or dental amalgam is placed into the core. The material replaces the entire missing tooth and strengthens what's left to prevent breakage.
